Lente de Contato Dental
Um Sorriso Natural

Lente de Contato Dental

Por que usar e quais seus benefícios?

Melhora a harmonização do sorriso

Reabilitar os dentes trincados

Remove manchas indesejadas dos dentes

As etapas para realização do início ao fim duram 15 dias em média no total, com o paciente tendo a possibilidade de testar o sorriso, famoso mock-up.

Tirando duvidas

Casos de Clínicos

Um sorriso de estrela de cinema

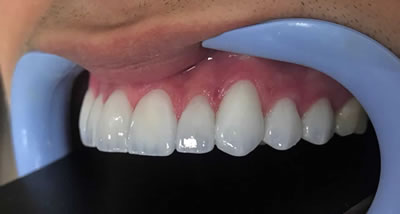
Lentes de Contato Dentais

Além de dentes saudáveis, a Odontologia tem sido uma grande aliada na auto estima das pessoas, as lentes de contato dentais contribuem muito para alcançar esse objetivo.

Esse tratamento reabilitar os dentes trincados, manchados, desgastados e que tiveram algum tipo de fratura, devolvendo aquele sorriso jovial como você sempre quis.

As lentes de contato é atualmente o que tem de mais moderno a área estética do sorriso, consegue devolver a auto estima e reabilitar o paciente, é um tratamento na qual o paciente consegue definir junto com o Dr Raphael Marcellus, o sorriso do seus sonhos.

As etapas para realização do início ao fim duram 15 dias em média no total, com o paciente tendo a possibilidade de testar o sorriso, famoso mock-up.

Agende sua consulta não perca mais tempo para ter suas lentes de contato dentais

Falar com o Dr. Raphael

POR QUE O DR. RAPHAEL MARCELLUS?

  • Referência na aplicação de lentes de contato dentais
  • Moderno e Tecnológico
  • Um grande histórico de casos de sucesso
  • Processo rápido
  • Técnica de ser minimamente invasivo (pouquíssimo desgaste)

Na mídia

Estou eperando você para uma visita

Rua voluntários da pátria 654, sala 407
Prédio Ícone Santana - Bairro Santana

Perguntas Frequentes

Lentes de Contato Dentais

Algum tipo de desgaste ao dente precisa ser feito para receber a lente de contato dental?

Eu, Dr Raphael Marcellus, trabalho com a técnica de ser minimamente invasivo, ou seja, desgastar o menos possível que poder, com isso o desgaste se torna muito pouco. O desgaste do dente deve ser feito pois a lente de contato dental necessita de espaço e espessura suficiente.

A lente de contato dental mancha com café, vinho, chá, etc?

 
A lente de contato dental é feita de porcelana portanto não mancham.

Quanto tempo duram a lente de contato dental?

A lente de contato dental tem durabilidade média de 20 anos, porém passa com facilidade disso, podendo durar a vida toda, tudo depende de seu cuidado.
A porcelana é um material inerte e biologicamente compatível. Já os tecidos ao redor como a superfície do dente sob a porcelana e a gengiva podem sofrer alterações com o tempo como cáries e retração da gengiva, respectivamente. O que garante a longevidade da lente de contato dental é a correta higienização bucal e visitas periódicas ao dentista.

Quantas consultas são necessárias para colocação da lente de contato dental?

Tres consulta são necessárias – Design, Preparo, Cimentação. Na primeira consulta é feito o desenho dos dentes e do sorriso. A segunda consulta envolve o preparo dos dentes e o molde necessário para iniciar a confecção da lente de contato dentais. A terceira e última consulta é feita a cimentação final das lentes.

Se a lente de contato dental forem feitas apenas nos dentes superiores, os dentes inferiores ficarão com cores diferentes?

Dependendo da cor escolhida nas lentes de cima, pode dar um contrate maior de cor ou não, isso deve ser analisado para ver qual seria a melhor alternativa.

As lentes podem ter cáries?

Não! A porcelana é inerte, sem vida e não  tem como ter cáries, mas os dentes abaixo delas, sim. Por isso os cuidados com escovação, fio dental.

É Preciso anestesia para a colocação dos laminados de porcelana?

Em poucos casos é anestesiado, pois não gera incômodo algum, porém existem pacientes que tem uma sensibilidade maior, e isso varia de pessoa para pessoa, nestes casos a anestesia pode ser indicada.

O procedimento é reversível?

Nas lentes de contato dentais, é possível fazer a remoção e manter apenas os dentes naturais, porém, vão estar um pouco desgastados. No entanto, tendo gostado do sorriso final, as lentes de contato dentais não apresentam motivos para serem removidas, principalmente por serem colocadas de uma forma definitiva, com duração podendo superar os 20 anos, não causam dor ou incômodo, nem sofrem alteração de textura e cor com o passar do tempo.

As lentes podem fraturar ou cair?

Pode acontecer, mas é raro, dependerá muito da sua alimentação, cuidados com alimentos duros como maçã do amor, torresmo, é interessante evitar ou cortar em pedaços e não apertar com os dentes da frente. Apesar de raro, caso acontecer a fratura, é um procedimento bem rápido para a colocação novamente da lente.